Pseudomyxoma Peritonei: What It Is And How It's Treated

A.Nohost 48 views
Pseudomyxoma Peritonei: What It Is And How It's Treated

Pseudomyxoma Peritonei: Understanding This Rare Condition

Hey guys, today we’re diving deep into a really unique and often misunderstood medical condition called pseudomyxoma peritonei (PMP) . It sounds super complicated, and honestly, it kind of is, but understanding it is key to knowing how it’s managed. So, what exactly is pseudomyxoma peritonei? At its core, PMP is a rare condition characterized by the slow, progressive accumulation of mucus within the abdominal cavity. This isn’t just any mucus; it’s a gelatinous substance produced by certain types of tumors, most commonly originating from the appendix or ovaries. These tumors, often mucinous adenocarcinomas, secrete copious amounts of mucin, which then fills up the peritoneal cavity – the space lining your abdomen and covering your organs. Imagine a slow-motion flood of jelly inside your belly; that’s kind of what’s happening. The growth of these tumors and the subsequent mucus production can lead to a host of symptoms, often including abdominal distension, pain, discomfort, and changes in bowel habits. Because it progresses slowly and symptoms can be vague, PMP is often diagnosed late, which can make treatment more challenging. It’s crucial to get this condition diagnosed early for the best possible outcomes. We’ll be exploring the causes, symptoms, diagnosis, and the groundbreaking treatment options available for pseudomyxoma peritonei, so stick around!

The Origins of Pseudomyxoma Peritonei: Where Does It Start?

So, let’s get down to the nitty-gritty of where pseudomyxoma peritonei typically begins its journey. The most common culprit , guys, is a tumor originating from the appendix. Yep, that little organ we sometimes hear about getting removed. In PMP, however, certain types of appendiceal tumors, particularly a low-grade mucinous adenocarcinoma, can rupture or spread their mucin-producing cells throughout the abdominal cavity. Another significant source is the ovary. Mucinous ovarian tumors can also metastasize or spread their cells, leading to the characteristic mucus buildup. Less commonly, PMP can arise from tumors in other parts of the digestive tract, like the colon or gallbladder. The key event is the release of these mucin-producing cells into the peritoneal space. Once they’re there, they can implant on the surfaces of abdominal organs and the peritoneum itself, continuing to produce mucus and grow, albeit often slowly. This slow, relentless accumulation is what defines PMP. It’s important to understand that PMP is not a typical cancer that spreads rapidly to distant organs through the bloodstream or lymphatic system. Instead, it’s a condition of peritoneal carcinomatosis , meaning the cancer cells are confined to the lining of the abdominal cavity. This distinction is super important because it influences how we approach treatment. The origin story of PMP underscores the need for thorough investigation when unexplained abdominal symptoms arise, especially if there’s a history of appendiceal or ovarian issues. Early detection, even from these seemingly minor origins, can make a world of difference.

Decoding the Symptoms: What to Look Out For

Now, let’s talk about the signs that something might be up. Recognizing the symptoms of pseudomyxoma peritonei is vital because, as we touched on, it often creeps up slowly. One of the most common and noticeable signs is progressive abdominal distension. Your belly might start to feel bloated, tight, and larger than usual, and it’s not just from that extra slice of pizza, guys! This is due to the accumulation of mucus within the peritoneal cavity. You might also experience abdominal pain or discomfort. This pain can range from a dull ache to more severe cramping, and it often worsens as the mucus builds up and puts pressure on surrounding organs. Changes in bowel habits are another frequent symptom. You could find yourself dealing with constipation, bloating, or even a feeling of incomplete bowel movements because the expanding mucus is impacting the intestines. Nausea and vomiting can also occur, particularly if the condition progresses to cause a bowel obstruction. Some people might experience unexpected weight gain, again, due to the fluid and mucus accumulation. In women, if PMP originates from the ovaries, symptoms might include pelvic pain and pressure, and changes in menstrual cycles. It’s really important to stress that these symptoms can be quite general and mimic other, less serious conditions. However, if you’re experiencing persistent and worsening abdominal distension, pain, or changes in bowel function, it’s absolutely critical to see a doctor. Don’t brush it off! Early diagnosis is your best bet for effective treatment and a better quality of life when dealing with PMP.

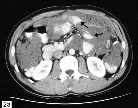
Diagnosis: Pinpointing Pseudomyxoma Peritonei

So, you’ve got some symptoms, and your doctor suspects something more is going on. Diagnosing pseudomyxoma peritonei involves a multi-pronged approach, and it can sometimes be a bit of a puzzle. Because the symptoms can be so non-specific, it often starts with a thorough medical history and physical examination. Your doctor will ask about your symptoms, their duration, and any relevant personal or family medical history. During the physical exam, they’ll likely check for abdominal distension, tenderness, or any masses. Imaging tests are absolutely crucial for getting a clearer picture. CT scans (Computed Tomography) are usually the first line of imaging. They can help visualize the extent of mucus accumulation within the abdomen and pinpoint potential primary tumor sites, like a suspicious appendix or ovarian mass. MRI (Magnetic Resonance Imaging) might also be used to provide more detailed images of soft tissues. Blood tests might be performed, but they typically don’t provide a definitive diagnosis for PMP itself. However, they can help assess overall health and rule out other conditions. The definitive diagnosis, however, usually requires a biopsy . This involves obtaining a tissue sample of the abdominal masses or the mucus itself. This can be done through a minimally invasive laparoscopic procedure or during surgery. Pathologists then examine the tissue under a microscope to confirm the presence of mucinous tumor cells and rule out other types of cancer. Sometimes, PMP is discovered incidentally during surgery for another condition, like an appendectomy for what was thought to be a routine appendicitis. The key takeaway here is that a combination of clinical suspicion, advanced imaging, and pathological confirmation is needed to accurately diagnose pseudomyxoma peritonei. It’s a process that requires careful evaluation by experienced medical professionals.

Treatment Strategies for PMP: What are the Options?

Alright guys, let’s talk about the good stuff: treatment options for pseudomyxoma peritonei . This is where things get really interesting and hopeful. Historically, PMP was considered very difficult to treat, with options often limited to managing symptoms. However, thanks to advancements in surgical techniques and a better understanding of the disease, there are now more effective approaches. The gold standard treatment for PMP is a combination of Cytoreductive Surgery (CRS) and Hyperthermic Intraperitoneal Chemotherapy (HIPEC) . Let’s break that down. Cytoreductive surgery, often called the